猫の扁平上皮癌について
口腔内の扁平上皮癌は犬では2番目、猫では1番目に多い腫瘍であり 治療法も限られています。
今回はそんな口腔内扁平上皮癌についてお話ししていきます。

なかなか、猫は口の中を見せてくれないため気付きにくいところでもあり、発見が遅れてしまうことが多いです。
今回の記事を読んで少しでも早期発見につながればと思っています。
症状は?
扁平上皮癌の初期症状はなかやか気付きづらいです。
皮膚にできた場合はただの傷のようにはじめは見えてしまい、進行しても潰瘍かしてグジュグジュしているように思われる方もいらっしゃいます。
口腔内ではヨダレが多くなったり、ご飯を食べ辛そうにしたりするため口内炎などとしてしまうこともあります。
比較的 全身転移は遅い為、症状は気づきづらいですが進行すると元気、食欲低下。私が見た症例では下顎が完全に折れてしまい下顎が完全に曲がってしまっている子もいました。

原因は?
扁平上皮癌の明確なとした原因は分かっていませんが、色素の薄い皮膚によくみられることや、日光にさらされる時間が多いと、扁平上皮癌になりやすいといわれています。
このことから、外に出ることの多い白猫などに発生が多いようです。
他には、猫免疫不全ウイルス感染症との関連や、扁平上皮癌からパピローマウイルスがみられることから、パピローマウイルスの関与も疑われています。

検査、診断
扁平上皮癌の検査にはいくつかの方法を組み合わせます。
・X線検査
・細胞診
・病理組織検査
・CT検査
など
※細胞診とは、潰瘍になっているところに、スライドグラスを押し当て、顕微鏡で異常な細胞がないかを観察しますが、口腔内はFNA等が困難であり院内でのは難しいです。
細胞診は、表面にある細胞をみることで、腫瘍細胞など異常なものがみられないかを調べる検査ですが、確定診断ができるわけではありません。
ただし、細胞診では、病変が実際に腫瘍であっても、必ずしも腫瘍細胞がみられるわけではありません。
炎症や細菌感染が同時に起こっていれば、炎症や細菌感染を示す像が観察されても腫瘍細胞はみられないこともあります。
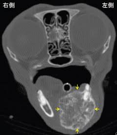
私のお勧めとしては、CT検査を行い骨への浸潤や腫瘤の大きさ、血管等への浸潤をしっかり確認した上で切除病理を実施します。経験から全身麻酔をかけるにあたり、腫瘤が大きく挿管が困難な場合がある為、注意して行ってください。
また、病理組織検査は、外科的切除を行った後に切除した組織の塊を使い、診断を行います

治療は?
扁平上皮癌の治療の第一選択肢は、外科的切除
扁平上皮癌の治療は、外科的切除や放射線治療、抗がん剤治療がありますが放射線療法(RT)には、特殊な設備が必要なため、実施できる施設は限られる
化学療法(抗がん剤)のみの治療に関しては、有効性はあまり示されておらず、RTと並行して、抗がん剤の腫瘍内投与なども行われています。
治療を行い、一度腫瘍が消失したように見えても再発することもあります。
皮膚等の扁平上皮癌では、腫瘍が小さく、皮膚表面に浅くとどまり、皮膚深くを侵していないものは、そうでないものよりも、治療後の生存期間が長いという報告もあり早期発見、早期治療を行うことでより良い結果が得られます。
また、猫の口腔内扁平上皮癌は効果的な治療は確立されておらず、治療を行っても1年後の生存率はかなり低いです。
口腔の扁平上皮癌とは、詳しくいうと、舌や扁桃、咽頭、下顎などにできたものです。
この中で、下顎の扁平上皮癌は、他の口腔の扁平上皮癌に比べて、治療後の生存日数が比較的長いという報告があります。
口腔の扁平上皮癌では、腫瘍が大きくなると、水を飲んだり食事を食べたりすることが困難になります。
その場合は、食道チューブや胃瘻チューブを入れ、栄養や水分を胃へ入れられるようにすることもあります。
食道チューブは食道から太目の管を、胃瘻チューブは腹部から皮膚を通して太目の管を設置しますが、両者とも設置時に麻酔が必要になるため体力が落ちきった状態ではリスクを伴います。
<おすすめ動画>
<関連記事>
猫の中毒の原因となる食べ物や植物、その症状と治療法について最近では飼育頭数も増え、室内で飼われる猫が多くなってきました。しかし室内には猫にとって危険な中毒を引き起こす物質も身近にあるのが現状です。そこで今回の記事では猫は何によって中毒になるのか、またその際の症状や治療法についてまとめました。

<関連記事>
猫の皮膚病「ホットスポット」についてみなさんは「ホットスポット」をご存知でしょうか?ホットスポットは梅雨時期などに猫に見られる皮膚病で、体の様々な場所に見られます。今回は、ホットスポットが出来る原因や症状、治療法などをご説明していきます。

<関連記事>
愛猫が吐いた!考えられる原因と対処法を説明!猫は吐きやすいと言われている生き物ですが、突然苦しそうに嘔吐してしまうと何か重大な病気なのではないかと心配になってしまいますよね。そこで、今回は猫が吐いた時に考えられる原因とその対処法をまとめました。



























