犬の会陰ヘルニアと緊急時の外科的処置
獣医師
久保井 春希
[記事公開日] [最終更新日]
今回は膀胱脱を起こし、排尿困難になった場合の外科的処置をご紹介していきます。
[ 目次 ]

皆さんは愛犬のお尻が膨らんできたり、なんとなくおしっこがしづらいなと思うことはありませんか?
排便もかなりの日数経ってから、少量づつ出たら以前に比べて出が悪いと思うことはありせんか?
そんな時 もしかすると会陰ヘルニアという病気かも知れません。今回は緊急を要する会陰ヘルニアについてご紹介していきます。
排便もかなりの日数経ってから、少量づつ出たら以前に比べて出が悪いと思うことはありせんか?
そんな時 もしかすると会陰ヘルニアという病気かも知れません。今回は緊急を要する会陰ヘルニアについてご紹介していきます。
原因
原因としては肛門周りの筋肉が薄くなり、弛緩してきてしまう為に、その隙間から膀胱や腸などの臓器や脂肪が出てきてしまい肛門周りの突出が見られる疾患です。筋肉が菲薄化してしまう原因に男性ホルモンが関与しているといわれ、未去勢の中高齢の雄犬で多く発生する傾向にあります。

症状
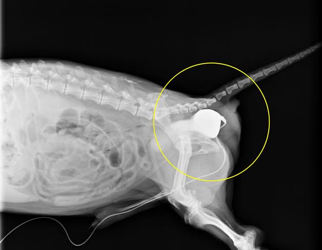
症状として、各種臓器や脂肪が飛び出ることで排便や排尿に支障をきたしますが、膀胱が飛び出て反転している場合などは排尿が困難になり一刻を争う事態になります。
また、直腸脱などがある場合や直腸の脇に憩室などができてしまっている場合、排便も困難になってきます。

緊急時の外科的処置
まず、排尿困難な場合、カテーテル挿入を試みて排尿ルートを確保します。
しかし、膀胱が反転していたらする場合 挿入が困難であり無理やりやると膀胱破裂や尿道損傷を伴う場合があるため難しい場合には外科的処置を行うべきでしょう。
外科的整復はいくつかの方法を組み合わせます。
①未去勢の場合には去勢手術実施。
②腹腔内から膀胱を引っ張ってきて腹壁へ固定。
③直腸脱を起こしている場合は直腸固定術実施。
④内閉鎖筋等でのヘルニア孔整復。
⑤筋肉等を使わずメッシュなどの人工物によるヘルニア孔整復。
⑥直腸憩室がある場合憩室整復。
これらを組み合わせながら手術を実施していきます。
両側一度に手術する場合、尿失禁などのトラブルが出る場合がありますが、経験上やむ得なく実施する場合もあります。
<おすすめ動画>
<関連記事>
犬が冬にかかりやすい病気と、早期発見のためにできること冬になると泌尿器系の疾患や呼吸器、循環器系の疾患、関節の疾患など、寒さや乾燥が原因となる病気が多くみられます。これらの病気はなぜ冬に多いのか、こうした病気を予防、早期発見するためにはどうしたら良いのかをまとめました。
<関連記事>
犬のてんかんとは?症状や原因、診断や治療方法についててんかんとは、発作的に繰り返される全身のけいれんや意識障害を主な症状とする脳の病気です。 この記事では、犬のてんかんの症状や原因、診断・治療方法、向き合い方、かかりやすい犬種についてまとめました。
<関連記事>
犬の鼠径(そけい)ヘルニアとは?詳しくご紹介します!犬の鼠径ヘルニアは、足の付け根の部分にある隙間から、お腹にある腸や膀胱,子宮といった臓器が外に出てしまった状態のことを『鼠径ヘルニア』といいます。 この記事では、犬の鼠径ヘルニアの症状や原因、診断方法、治療方法、予防方法、かかりやすい犬種についてまとめました。


関節の健康維持に
ウィズペティの「犬用・毎日散歩 グルコサミン&イミダゾールペプチド」は関節の健康維持のために6種類の成分(グルコサミン、イミダゾールペプチド、プロテオグリカン、コンドロイチン、Ⅱ型コラーゲン、ビタミンD)を配合しています。安心安全の国産品質、GMP、ペットフード安全法、残留農薬のポジティブリストに基づき、香料・着色料・保存料・化学調味料を使用せずに製造しています。全犬種が食べやすい錠剤タイプです。(粒は直径8mmのチキン味)









関節の健康維持に
ウィズペティの「犬猫兼用・毎日散歩 グルコサミン&イミダゾールペプチド」は犬と猫の関節の健康維持のために6種類の成分(グルコサミン、イミダゾールペプチド、プロテオグリカン、コンドロイチン、Ⅱ型コラーゲン、ビタミンD)を配合した犬猫兼用粉末サプリメントです。安心安全の国産品質、GMP、ペットフード安全法、残留農薬のポジティブリストに基づき、香料・着色料・保存料・化学調味料を使用せずに製造しています。全犬種・全猫種が食べやすいミルク味粉末タイプです。(ミルク味粉末/1袋24g入り/付属スプーン60杯分)


















